Scans of people suffering from depression and healthy controls show that the disease is associated with the lateral orbitofrontal cortex of the brain. This part of the brain becomes active when receiving punishment, not receiving reward and is also associated with the sense of one self. One can see how in depression, this part of the brain could be activated. This will allow researchers to develop new therapies. Interesting!
http://www.iflscience.com/brain/scientists-find-the-physical-source-of-depression/
A recent breakthrough may have found the physical source of depression in the brain. The discovery could lead to some game-changing developments in the way we treat and perceive the mental illness, while also taking a bold step in understanding the physical root cause of depression.
Research by the University of Warwick in the UK and Fudan University in China has shown that depression affects the lateral orbitofrontal cortex. This part of the brain becomes active when suffering punishment or when rewards are not received, suggesting depression could be associated with the sensation of not receiving reward.
“More than one in ten people in their life time suffer from depression, a disease which is so common in modern society and we can even find the remains of Prozac (a depression drug) in the tap water in London,” study author Professor Jianfeng Feng said in a statement. “Our finding, with the combination of big data we collected around the world and our novel methods, enables us to locate the roots of depression which should open up new avenues for better therapeutic treatments in the near future for this horrible disease.”
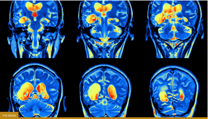
“The human medial (reward-related, OFC13) and lateral (non-reward-related, OFC47/12) orbitofrontal cortex networks that show different functional connectivity in patients with depression.” University of Warwick
The study was recently published in the neurology journal Brain.
The researchers reached this conclusion after scanning the brains of 909 people in China with a high-precision MRI. Of these patients, 421 were diagnosed with major depression, while the remaining 488 were control subjects.
This imaging technique was able to show activity in the connections between different parts of the human brain affected by depression, namely the medial and lateral orbitofrontal cortex. The lateral orbitofrontal cortex, associated with non-reward, showed considerably stronger connectivity in those in the depressive group.
As the team notes, the lateral orbitofrontal cortex is also connected with the area that is associated with one’s sense of self. Stronger connections were found between these two areas in those suffering from depression, perhaps explaining why people with depression often have thoughts of personal loss and low self-esteem.
“The new findings on how depression is related to different functional connectivities of the orbitofrontal cortex have implications for treatments in the light of a recent non-reward attractor theory of depression,” computational neuroscientist Professor Edmund Rolls said in a statement.
Updated 24/10/16: Top main image has been changed to show a more typical MRI scan

Reblogged this on Kate McClelland.
LikeLike
Thanks. Confirmational.
LikeLiked by 1 person
Sorry to come across as whiny in this comment, my dear Samina, but I want a cure, dammit! 😉 You know I do!!!!
At least research is being conducted and that’s essential, obviously.
But I’m impatient. I’m terrified I could get struck by depression again….
I know you get it.
Xo
LikeLiked by 2 people
Not whiny at all, of course I understand you totally! Let’s hope for NO depression ever, we’ve both through hell. I’d like a little bit of heaven please. Love you my dearest friend. ❤️❤️❤️
LikeLiked by 1 person
Wow! Very profound thoughts, dear Len. To become whole again as you were, or for the first time, is something that almost everyone hopes for! And living in the moment, experiencing an experience in the here and now! Are you sure your last name isn’t Tolle? 😊 Ah yes the heartbreak of finding the right one at the wrong time. But if our lives get better because of this, then it was worth it. Be well and be happy , my friends. You need to write s book! You are so chock full of great ideas and insights! Lots of hugs.
LikeLike